Anophthalmos and Microphthalmos
What is Anophthalmos and Microphthalmos?
Anophthalmia is a medical term used to represent the absence of the globe and ocular tissue from the orbit. It may be congenital, where a child may be born with no eye or associated structures, or it may be acquired, when an eye is lost to trauma or surgery.
It is amazing! I love...
63 Yrs Old with Fat Droopy Eyes - Salt Lake City, UT
Well, the last time I had a picture taken I could hardly see my eyes because of the weight of heavy eyelid. Then I paid attention to how I was actually using my eyes and I really noticed when I was looking at anything especially the computer I was straining my forehead to see better. Since I have had it done I no longer have to lift the forehead and tilt my head to see.
D. Rock
Microphthalmia is where a child is born with a rudimentary eye. There are vestigial tissues, albeit of great importance to the body. The presence of even the smallest of rudimentary eyes allows the surrounding tissues to grow and should always be preserved.
ANOPHTHALMIA
Anophthalmia ( A medical term used to represent the absence of the globe and ocular tissue from the orbit ) can be congenital (present at birth) or acquired later in life. Congenital anophthalmia can occur alone or along with other birth defects. Cases of Anophthalmia could result from inherited genetic mutations, sporadic genetic mutations, chromosome abnormalities, prenatal environmental insult or unknown.
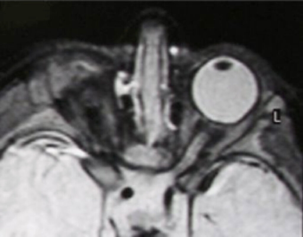
True or primary anophthalmos is very rare. Only when there is complete absence of the ocular tissue within the orbit can the diagnosis of true anophthalmos be made. Extreme microphthalmos is seen more commonly. In this condition, a very small globe is present within the orbital soft tissue, which is not visible on initial examination.
Anophthalmia and microphthalmia could occur secondary to the arrest of development of the eye at various stages of growth of the optic vesicle. It is important to recognize microphthalmia because the development of the orbital region, as well as the lids and fornices, is dependent on the presence of a normal-sized eye in utero. Anophthalmia is may be a clinical characteristic of Trisomy 13 which is a Gross Chromosomal Abnormality.
(Anophthalmia is very rare but the exact incidence is unknown. One report from a prospective study of 50,000 newborns found an incidence of microphthalmia of 0.22 per 1,000 live births)
Acquired Anophthalmos
Acquired anophthalmos is where an eye is lost (removed) secondary to:
- trauma
- infection
- tumor (such as retinoblastoma, choroidal malignant melanoma)
- advanced ocular disease (corneal disease, advanced resistant glaucoma)
Highly recommended for eye lift surgery
Salt Lake City, UT
I had a excellent eye lift done by Dr. Patel. He knows what he is doing and is very pleasant. Dr.Patel was easy to get an appointment and he works with you. The office staff was very pleasant and made you feel calm.
D. Gull
How is Anophthalmos Managed?
When there is true anophthalmos (no eye and no rudimentary eye), it is important to encourage growth of bones as well as soft tissues. In the presence of true anophthalmos, there may be rudimentary eyelids and eyelid structures. An orbital expanding implant is inserted with sequential expansion of this implant to allow pressure to be exerted on the surrounding orbital bones and thereby encourage growth. Similarly, soft tissue expansion is encouraged with an anterior conformer.
Together with colleagues in Germany, we have developed the following sequence of managing patients with anophthalmos:
At about 3 months of age, expansion of the conjunctival lining is commenced by inserting an osmotic expander of hemispheric shape. At birth, a normal eyeball would have a volume of 2.5 ml. Therefore, we try to get that degree of volume in the socket to simulate a normal tissue volume.
- At about one year of age, an expanding or expandable orbital implant is placed inside the orbit and expanded sequentially. The aim is to provide pressure on the bony surfaces and expand them. Furthermore, an increasing sized conjunctival conformer is placed with the help of our ocularist.
How is Anophthalmos Managed?
In some instances, hydrophilic, spheric osmotic expanders are inserted behind the conjunctiva.
In some instances, bony osteotomies are performed with repositioning of the bone, sometimes with interpositional bone grafts. It is now known that this should not be done until the child in in the mid-teens.
How is Microphthalmos Managed?
It is imperative NOT to remove even a vestigial eye. No matter how small an eye, it is responsible for allowing and encouraging orbital bony as well as soft tissue growth. There has been a tendency in the United States to remove these microphthalmic eye and replace them with solid orbital implants: this is a MISTAKE and should be discouraged.
We expand the anterior part of the socket, namely the conjunctival lining and eyelids with appropriate tissue expansion anteriorly. These expanders are sequentially exchanged. Socket reconstruction is only undertaken when maximal growth has occurred, usually by the age of about 15 years.
Before & Years After
Results!
With appropriate soft tissue expansion in microphthalmos, the appearance can be excellent.
This young lady was treated with serial expansion for her left microphthalmic eye and socket.
Dr. Patel makes magic happen.
Dr.Patel such a wonderful person…trust worthy, making u feel like family, included his staff members. Made my worries go away with there caring ways. God bless them. He truly make a wonderful job…it seem like a miracle.